你知道熒光蛋白由何而來嗎?
? ?近幾年,熒光蛋白在生物研究領域中的應用呈爆發式增長,1962年,維多利亞水母綠色熒光蛋白(GFP)首次被發現,1992年被成功克隆,并在1994年首次作為熒光標記用于體內標記。
?
?

? ?后來出現了各種GFP變體。此后科學家們也陸續鑒定了來自其他物種的熒光蛋白,顏色呈現出綠色、黃色、藍色和紅色等,常見熒光蛋白的光譜參數如下表。
?
?

?
紅色熒光蛋白及其抗體
? ? ? ? mCherry也叫櫻桃熒光蛋白、DsRed或紅色熒光蛋白等,是一種被廣泛應用的紅色熒光標簽蛋白,常用于分子的標記和細胞組分的定位等。不同于從水母中分離的GFP蛋白和其它GFP變體,mCherry是從珊瑚(Discosoma)中分離出來的單體紅色熒光蛋白,可以和GFP系列熒光蛋白共用,實現多色標記。體內、體外實驗表明,將mCherry融合表達在目的蛋白的N端或C端時,mCherry熒光蛋白活性和目的蛋白功能相互沒有顯著影響,因此mCherry比其它熒光蛋白標簽更受歡迎。此外,mCherry在標記病毒方面還有得天獨厚的優勢,研究者們常用mCherry標記HIV病毒來研究HIV和宿主細胞間的相互作用以及HIV侵染宿主細胞的過程。紅色熒光蛋白tdTomato是由兩個mCherry單體串聯表達的二聚體,專為降低蛋白聚集而設計,tdTomato熒光比mCherry更強,且對細胞/小鼠等毒性更小,因此更常用于活體實驗。
?

?
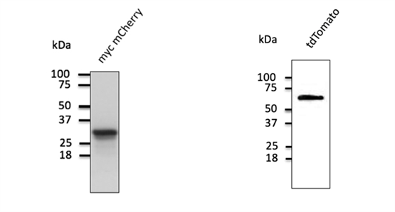
? ? 西美杰代理SICGEN品牌提供的Anti-mCherry和Anti-tdTomato均為從圓盤珊瑚中提取的紅色熒光蛋白的多克隆抗體。Anti-mCherry和Anti-tdTomato兩種抗體的抗原均是大腸桿菌表達的重組多肽純化而來,用Western blot檢測轉染了兩種蛋白的HEK293細胞,分別可檢測到29kda和55kda的條帶。Anti-tdTomato抗體對tdTomato和mCherry均有特異性,但與綠色熒光蛋白(GFP)不發生交叉反應。???????????
?
產品信息
? ? ? ? SICGEN品牌的紅色熒光蛋白抗體適用于多種免疫學實驗,且擁有優異的特異性、穩定性及售后服務,一直是該品牌的明星產品,受到了廣大客戶的好評。為了方便大家挑選,小編整理了SICGEN品牌Anti-mCherry和Anti-tdTomato系列抗體的產品信息表。
貨號
規格
產品名稱
應用
AB9770
200μg
Anti-mCherry
WB,IF,ELISA
AB0081
600μg/1.5mg
Anti-mCherry
WB, IHC (F), IHC
(P), IF, IEM
AB0040
600μg/1.5mg
Anti-mCherry
AB1340
400μg
Anti-mCherry
WB, IHC (F), IHC
(P), IF, IEM
AB8181
600μg
Anti-tdTomato
WB, IHC (F), IHC (P), IF,
ELISA
AB7358
400μg
Anti-tdTomato
WB, IHC (F), IHC
(P), IF, IEM
AB181405
250μg
Anti-tdTomato,Dylight?405
WB, IHC (F), IF
AB181488
250μg
Anti-tdTomato,Dylight?488
WB, IHC (F), IF
AB181550
250μg
Anti-tdTomato,Dylight?550
WB, IHC (F), IF
AB181633
250μg
Anti-tdTomato,Dylight?633
WB, IHC (F), IF
AB181650
250μg
Anti-tdTomato,Dylight?650
WB, IHC (F), IF
AB181680
250μg
Anti-tdTomato,Dylight?680
WB, IHC (F), IF
SICGEN公司介紹
? ? ? ? SICGEN是一家專門從事生命科學研究用抗體研發和生產的生物技術公司,為全球提供質量優,價格具有競爭力的多克隆抗體及抗體相關產品及服務,公司致力于發現和研發用于科學目的的新抗體,SICGEN一直為全球主要的國家和國際大學、研究機構、制藥企業和生物技術公司定制多克隆抗體。提供從cDNA到親和純化抗體生產的全套服務,包括抗原設計、抗體合成、抗原偶聯、免疫、ELISA測試、純化、抗體標記和表征等一系列服務。?
? ? ? ?北京西美杰是SCIGEN品牌中國區代理,為客戶提供完善的技術支持與售后服務。關注“西美杰科技”官方公眾號,更多海量免疫學“星品”等您發現!北京西美杰科技有限公司集結了全球高質量抗體及抗體相關產品和服務供應商,如SCIGEN、Lifespan、MyBioSource、KPL、Nordic-MUbio、Exalpha和Everest等。知名品牌、產品優質、種類齊全,為高校、科研院所的科研工作者以及生物制品生產企業提供一站式的服務。
?
?
聲明:本文部分圖片來源于網絡,侵權聯系刪除。
?